Kafa Travmaları
Genel bilgi
Travmatik beyin yaralanmaları tüm dünyada ciddi bir halk sağlığı problemi olmaya devam etmektedir. Amerika Birleşik Devletleri’nde her yıl 1.4 milyon dolayında insan kafa travmasına maruz kalmaktadır. Tüm ölümlerin yaklaşık 1/3’ü travmatik beyin hasarından olmaktadır. Devlet İstatistik Enstitüsü verilerine göre ülkemizde 2006 yılında ölümlü yaralanmalı toplam kaza sayısı 96.128 olup, ölen sayısı 4.633 iken yaralı sayısı 169.080 dir. Son 30 yılda yapılan çalışmalar göstermiştir ki yoğun ve özelleşmiş tedavi programları travmatik beyin hasarında sakatlık ve ölümü azaltmaktadır. Ancak halen yoğun tedavilere rağmen ağır kafa travmalı olguların büyük bir çoğunluğu uzun dönem sakat olarak kalmakta veya ölmektedir. Orta dereceli kafa travması geçiren olgularda bile belirgin nörofizyolojik ve psikiyatrik hasarlar kalabilmektedir.
Kafa travmalarının tedavisindeki ana hedef ikincil hasarları önlemektir. İkincil hasarlardan kasıt; travma sonrası görülen beyin ödemi, beyinde kan akımının (beynin beslenmesinin) azalması, kafa içi basıncın artması ve tüm bunların sonucu olarak beyin hasarının travmadan sonra da ilerlemeye devam etmesidir. Malesef günümüzde sadece belirtilen ikincil hasarları azaltmaya yönelik tedaviler uygulanabilmekte, hasar anında geri dönüşümsüz derecede zarar gören beyin hücreleri tedavi edilememektedir.
Kafa travmaları; hafif, orta ve ağır kafa travmaları olmak üzere üç ana başlık altında toplanabilir. Kafa travması yaşayan bir hastayı hangi başlık altında değerlendireceğimize Glaskow Koma Skoru (GKS) denilen ve hastanın bilinç durumunu gösteren bir puanlama sistemine göre yapmaktayız.
Kafa travmalarına bağlı lezyonları iki ana başlık altında toplayabiliriz. Bunlar; fokal (belirli bir bölgede sınırlı) lezyonlar ve diffüz (yaygın) lezyonlardır.
Fokal lezyonlar
Epidural Hematom (Kanama): Beyni saran zar (dura) ile kafatası kemiği arasında olan, beyin ile direkt ilgisi olmayan kanamalardır. Ancak kanamanın devam etmesi ve boyutlarının artması halinde beyni sıkıştırarak hasar verebilirler. Tüm kafa travmalarının %1’inden azını oluştururlar. Sıklıkla kırık kemik kenarlarının, dura üzerindeki damarları kesmesi sonucu oluşur. Bazen kırık kemik kenarlarından olan kanama sonucu da oluşur. Nadiren de olsa beynin ana toplar damarlarından da kaynaklanabilir. Şayet erken olarak tedavi edilebilirse sonuçları çok iyidir. Çünkü beyin üzerinde yarattıkları hasar sınırlıdır. Ameliyat sonrası sonuçlar, hastaların ameliyata girmeden önceki nörolojik tabloları (Glaskow Koma Skorları) ile bağlantılıdır. Yani bilinç durumu kötü halde ameliyata giren hastalarda ameliyat sonrası da sakatlık kalma ihtimali daha yüksektir. Kimi hastalarda kanama boyutları ameliyat gerektirecek boyutlarda olmayıp, hastanede sıkı gözlem altında takip edilirler. Kimi hastalar ise acil olarak ameliyat gerektirirler. Ameliyatta kanamanın olduğu bölgedeki kafatası kemiği kaldırılır, kanama temizlenir ve kanamanın kaynağı durdurulur. Son olarak kaldırılan kemik tekrar eski yerine sabitlenerek ameliyat tamamlanır.
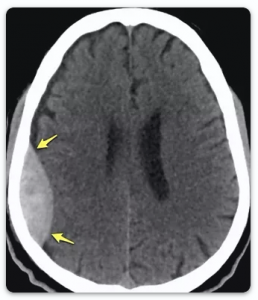
Subdural Hematom (Kanama): Beyin zarı (dura) ile beyin arasında gelişen kanamalardır. Yani kanama direkt olarak beyinle temas halindedir. Epidural hematomlardan daha sık görülürler. Özellikle ağır kafa travmalı olgularda görülme sıklığı %30’dur. Kanama genellikle beyin ve beyin zarı (dura) arasındaki köprü damarların travma anında kopmalarından kaynaklanır. Eğer travma çok ağırsa, bu durumda direkt olarak hasar görmüş beyin dokusunun kanamasına bağlı da olabilir. Bazen (ileri yaşlarda, alkol kullananlarda, kan sulandırıcı ilaçlar kullanan hastalarda daha sık) kafaya alınan hafif darbelerden haftalar hatta aylar sonra dahi subdural hematom gelişebilir. Buna kronik subdural hematom denir. Akut (travmadan hemen sonra gelişen) subdural hematomun sonuçları epidural hematomlardan çok daha kötüdür. Bunun en büyük nedenlerinden biri, bu kanamaların sıklıkla beyin yaralanması ile birlikte görülmesidir. Subdural hematomlardaki yüksek ölüm oranı, hızlı cerrahi müdahale ve agresif yoğun bakım tedavisi ile düşürülebilir. Subdural hematom zmeliyatı epidural hematomlarınkiyle benzerlik gösterir. Farklı olarak, kanama beyin zarının altında olduğundan bu zar da kaldırılır ve kanama boşaltılır. Yani beyin ile direkt temas vardır. Bu da ameliyata bağlı komplikasyon ihtimalini arttırır.


